Se mete un cable USB en el pene y es operado de urgencias
En Reino Unido un joven quiso hacer un experimento pero terminó en el hospital.

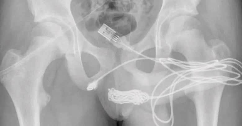
En Londres, Reino Unido, un joven de 15 años quiso hacer un experimento y decidió insertar un cable USB en su pene para medir su longitud; cuando iba a sacarlo no pudo y quiso hacer mucho esfuerzo, lo que ocasionó que el cable se enredara por dentro y terminara en el hospital.
Su caso ha sido detallado en el artículo, titulado «Autoinserción uretral de un cable USB como experimentación sexual: informe de un caso», que se publicó en la revista médica Urology Case Reports junto con las impactantes imágenes.
Todo sucedió luego de que el chico orinara sangre, esto hizo que sus padres se alarmaran y lo llevaran de urgencias al hospital, pero allí no pudieron ayudarlo; entonces se fueron a University College Hospital, en Londres, donde los médicos tuvieron que hacerle una cirugía de emergencia.
Tuvieron que cortar el músculo bulboesponjoso, el área entre los genitales y el ano, para sacar el cable USB. Pero no pudieron pasar la parte anudada del cable a través de ese corte antes de sacar las piezas restantes del cable eléctrico. Afortunadamente, el joven no necesitó más tratamiento y fue dado de alta al día siguiente.
Según el artículo, el chico le contó a los médicos lo que había sucedido luego de que le hicieran un estudio psiquiátrico; pues reveló que solo lo había hecho por curiosidad sexual.
“Se insertó el cable en la uretra para medir la longitud de su pene provocada por la curiosidad sexual”, fue lo que afirmó la revista.
Tras este incidente, los médicos advierten que es muy peligroso insertarse cosas extrañas en los órganos sexuales pues puede causar daños irreparables.
“La inserción de un cuerpo extraño en la uretra es un asunto delicado que puede impedir que los pacientes se presenten rápidamente en el hospital», advirtieron los investigadores.
A pesar de todo esto, piden que no se emitan juicios sobre la situación que vivió el joven, es algo común que puede suceder durante la exploración sexual adolescente.
También puede leer: Video: un hombre cae desde un noveno piso y sobrevive milagrosamente

